目次
口腔外科(親知らず抜歯)WISDOM TEETH

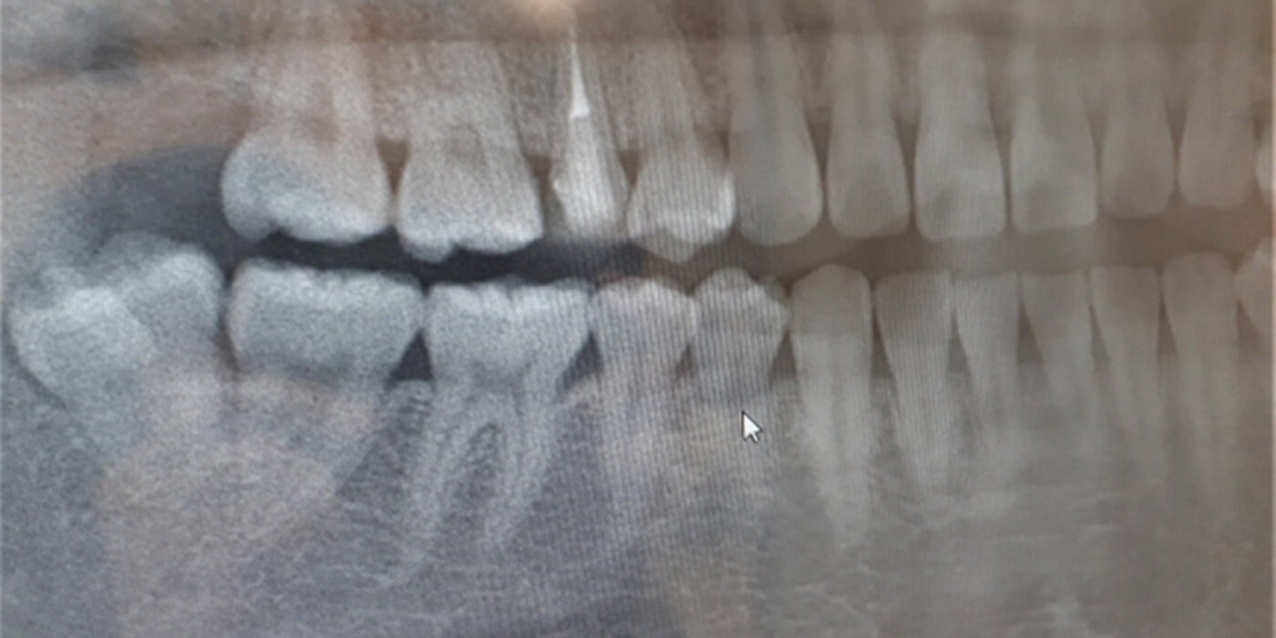
通常、永久歯歯上下左右7本ずつ生えてくるのですが、7番目の歯のさらに奥にある8番目の歯が成長と共に生えてくることがあります。その歯が親知らずになります。
まっすぐ生えていて、生活に支障がない場合は抜歯を勧めることはありませんが、基本的に当院では親知らずの抜歯を勧めております。
親知らずについて
親知らずはいつ頃生える
「親知らず」は一番最後に生えてくる(18~20歳くらいに生えます)ため、生える場所が残されていません。骨の中に埋まったまま出てこなかったり、横や斜めに生えてきたりすることが多く、完全な形で生えてくる人は稀です。
横や斜めに生えてきた状態のままになったりすると、歯ブラシをしても手入れがしにくく、汚れがたまりやすく、そのためにむし歯になり痛んだり腫れたりすることが多いです。
生えてくるときの痛み
親知らずが歯茎を突き破って生えてくることによる炎症、腫れの痛みや親知らずが頭が頬っぺたにひっかかって口内炎のような症状を起こすこともあります。
また、親知らずは非常に歯磨きがしずらい位置に生えてくるので痛みを感じた頃にはすでに大きな虫歯になっていることもあります。

親知らずと歯並び
歯並びの不正は顎の大きさに対して歯の大きさが合っていないことにより引き起こされることがあるため、本来、生えるスペースのないところに頭の大きな親知らずが上下左右4本生えることにより歯並びの不正が起こることはあります。

親知らずが原因で起こる悪影響
- 虫歯になりやすい
- 歯肉が炎症を起こしやすい
- 隣の歯に負荷がかかってしまう
- 講習が気になる

医院の選び方
大学病院の口腔外科で勤務経験があったり口腔外科専門医が在籍しているクリニックを選んでいただければ良いと思います。
当院の親知らず抜歯
基本的には親知らずであれば全ての症例で対応可能です。あまりに下顎管という大きな神経に親知らずが接している場合、大学病院に送るケースがございます。
親知らず自体は抜ける生え方だったとしても、「上下左右同時に抜いてほしい」だったり、嘔吐反射や極度の緊張によって全身麻酔下での抜歯を希望される場合は大学病院に紹介させていただくこともあります。

親知らずの抜歯の治療費について
まっすぐ生えている場合
| 抜歯の難易度 | ☆☆ |
|---|---|
| 治療時間 | 約15分 |
| 治療費 | 約3,000円 |
横向きに生えている場合
| 抜歯の難易度 | ☆☆☆ |
|---|---|
| 治療時間 | 約30分 |
| 治療費 | 約5,000円 |
埋まっている場合
| 抜歯の難易度 | ☆☆☆☆ |
|---|---|
| 治療時間 | 約30〜60分 |
| 治療費 | 約7,000円 |
親知らずの抜歯後の注意事項
- 激しい運動は控える
- お酒などのアルコール類は控える
- 舌で傷口を触らない
- 食事をする時はできるだけ反対側で噛むようにする
- 麻酔が切れて痛みを感じる場合は痛み止めの薬を飲む
- ぶくぶくうがいを強く行わないようにする
- 出血が続く場合は必ずご連絡ください
- 傷口を開かないよう、それから触らないようにする
親知らずの抜歯後は傷口がまだ完全に傷が癒えておりません。
そのため上記のようなことにご注意してください。
もし、何か異常を感じた場合は私達までご連絡ください。
抜歯後、特に骨を削った場合はほぼ間違いなく腫れます。抗生剤が処方されるので必ず決まった分量を飲みきってください。
また、傷口は血液が貯まることによって治っていきますので、唾液に血が混じったとしても過度のうがいは控えて下さい。抜歯当日の激しい運動やお風呂は血流が良く出血しやすくなるので控えて下さい。
抜歯治療の流れ
注射時の痛みを和らげるために、塗り薬の表面麻酔をおきます。
親知らずの1つ手前の7番目の歯の真ん中あたりから親知らずが埋まっている箇所まで切開し歯茎を開きます。
切開して埋まっている親知らずの一部を確認後、親知らずの頭半分以上が見えるくらいまで骨を削ります。親知らずの頭が見えてきたら頭を切断して抜き、その後根っこの部分を抜きます。
親知らず抜歯後、ただれた歯茎を取り除きます。その後、消毒して切開した歯茎を縫合して治療終了です。
抜歯後の腫れについて
- 抜歯後3日間は強い痛みと腫れ
- 1週間経つと痛みが収まり、痛み止めで緩和できる程度
- 1週間後は抜糸をしてから痛みを無くなりますが違和感が続く
- 2週間目以降は違和感もなくなり痛みが消える
埋没した歯を抜いてから、抜いたくぼみが平になるには2ヶ月以上要すると思います。
親知らずの治療でよくある質問

親知らずの抜歯は痛いって聞くけど実際どうなの?
必ず麻酔を行ってから痛みを少なくするように配慮しながら治療を行います。
抜歯中の痛みは、親知らずの生え方や上の歯か下の歯かによっても異なります。 できる限りお痛みを少なくするために、麻酔を追加するなどの処置など行います。
親知らずの抜歯をするとき、全身麻酔をするの?
当院では全身麻酔による抜歯は行っておりません。全身麻酔が必要な抜歯のケースでは、専門の医療機関をご紹介させていただくなどで対応いたします。
そうならないために、我々は歯周検査を行いポケットの深さ、歯の揺れ、出血、汚れの程度を確認した上で歯周治療や患者様へのフィードバックを行っております。
親知らずが生えない人は本当にいるの?
はい。上下左右の4本のうち3本のみ親知らずが生えてくる人や、1本も生えてこない方も中にはいます。
けれども、実際にはまだ歯茎の骨の中に埋没して見えていないだけという場合があります。
親知らずを抜くと小顔になれる?
親知らずを抜くことで、元々親知らずを支えていた顎の骨は筋肉が収縮していきます。
歯を抜くと歯を抜いた部分はなくなりますので、その分だけ、顎が細くなる可能性は高いですが多少期待は出来ますが、抜歯により美容整形ほどの効果を求めるのは難しいです。
どのくらいの頻度でクリーニングを受ければいいの?
ブラッシング指導を徹底的に受けた前提で3ヶ月に1回が良いと考えております。親知らずを抜歯する前にクリーニングをしっかり行い、できるだけ細菌数が少ない状態で抜歯を行います。 口腔内がきれいな患者さんは、必要がありません。細菌数が多い場合は、抜歯後の細菌感染により治りが悪くなります。
まずはご相談ください
私達は患者様からお口の健康を任せていただけるように、頼りがいのある歯科医院を目指しています。お口のトラブルがございましたら、お気軽にご相談ください。


